100% garancia originálnych výrobkov SM Systém, Blackroll a Dynasit   |   Doprava zadarmo od 80 €

Skolióza

Čo je skolióza?

Skoliózu môžeme charakterizovať ako trojrozmernú deformitu so sklonom a posunom stavcov vo frontálnej (stranové zakrivenie), sagitálnej (zmeny fyziologickej lordózy a kyfózy) a tranzverzálnej (rotácia chrbticového stĺpca) rovine. Jednoducho povedané, je to chorobné vykrivenie chrbtice mimo jej prirodzenú krivku.

U idiopatickej (z neznamej príčiny) skoliózy spočiatku nie sú štrukturálne zmeny stavcov. U skoliózy sú najviac dislokované telá stavcov, ich oblúky a výbežky menej. Obvykle viditeľný je typický hrb pri rotácii chrbtice v hrudnej časti, kde priečne výbežky sú nasledované rebrami a vytvára sa tak tzv. paravertebrálna prominencia (prominencia = výčnelok). Najviac viditeľná je deformita pri Adamsovom teste - v predklone.

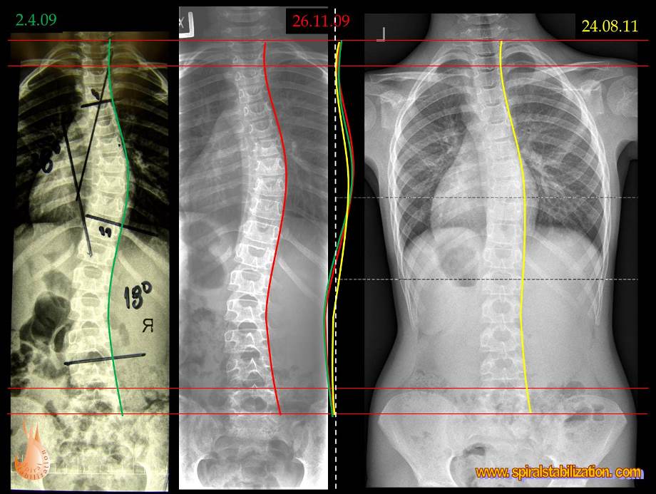
Veľkosť deformity sa hodnotí vo všetkých troch rovinách. Metódou podľa Cobba možno odčítať uhlovej zakrivenie v predozadnej projekcii (AP = Antero-posterior) a v bočnej projekcii (sagitálnej rovine). Modernými zobrazovacími metódami možno navyše v osovom reze trupu (v transversálnej rovine) odčítať rotáciu chrbtice.

Neuromuskulárna skolióza

Základnou príčinou tejto deformity chrbtice je vada neuromuskulárneho systému. Ide o veľkú skupinu ochorení, najčastejšou formou je detská mozgová obrna - DMO, muskulárna dystrofia a myelomeningokéla. Jedná sa o veľmi rozmanitú skupinu pacientov, u ktorých je potrebný špecifický prístup aj liečebný postup. Základné neurologické postihnutia môže byť jednostranné, obojstranné, progredujúce alebo stacionárne. Rovnako tak je nutné prihliadnuť k mentálnemu postihnutiu pacienta.

Kongenitálna skolióza

Jedná sa o deformity chrbtice (skoliózy, kyfózy, kyfoskoliózy), s ktorými sa dieťa už narodí. Pomerne často sú sprevádzané ďalšími vrodenými vadami (u 30 % sú aj abnormality obličiek, u 40 % abnormality na mieche). 75 % detí s vrodenou skoliózou progreduje postupne s vekom. Z toho 2/3 výrazne a 1/3 menej výrazne. Iba 25 % kongenitálnych kriviek sa nemení. Zhoršovanie veľkosti krivky je najmä v dvoch vekových obdobiach, a to od narodenia do troch rokov, a potom v období pubertálneho veku (obdobie rastového zrýchlenia).

Ako dokáže cvičenie SM Systém pomôcť pacientom so skoliózou?

Chcem sa naučiť SM Systém