100% garancia originálnych výrobkov SM Systém, Blackroll a Dynasit   |   Doprava zadarmo od 80 €

Hernia disku

Čo je hernia disku?

Medzistavcová platnička sa skladá z elastického rôsolovitého jadra (nucleus pulposus) v strede, ktoré má schopnosť prerozdeľovať tlakovú záťaž na ostatné platničky. Miera elasticity je závislá na obsahu vody v platničke a platí, že čím je vody viac, tým je lepšia schopnosť odpružiť prípadnú záťaž.

Okolo jadra sa nachádzajú vrstvy vlákien a chrupaviek usporiadaním pripomínajúce šupky cibule (anulus fibrosus), ktoré dohromady tvoria väzivovú vonkajšiu vrstvu čiže prstenec.

Pri dlhodobom nesprávnom držaní tela dochádza k tomu, že sa platnička nepravidelne na jednej strane deformuje. Mäkké rôsolovité jadro sa posúva mimo strednú časť, čo má za následok väčšie namáhanie a preťahovanie vlákien vo vonkajšom obale. Jadro sa časom vyklenie smerom k mieche, čím nastáva tzv. vyklenutie medzistavcovej platničky - hernia disku. Vyklenutie sa následne prejavuje bolesťou v oblasti chrbta ale nielen v nej.

Vo väčšine prípadov dochádza k vyklenutiu platničky medzi 4. a 5. bedrovým stavcom (hernia disku L4/L5). V niektorých prípadoch môže dôjsť k vyklenutie medzi 5. bedrovým stavcom a 1. stavcom tvoriacim krížovú kosť (hernia disku L5/S1), čo sa prejavuje často poruchou citlivosti v oblasti vonkajšej strany stehna a predkolenia.

Vyklenutie hernie môže byť čiastočné, kedy je zachované spojenie s medzistavcovou platničkou, alebo úplné, kedy je toto spojenie prerušené a vytvára sa voľný sekvestor (sekvestor, z lat. Sequestro - dávam mimo, oddeľujem).

Hernia disku môže vzniknúť buď náhle po výraznom zaťažení, alebo postupne, dlhodobo pôsobením negatívnych pohybových stereotypov.

Pri hernii disku dochádza najprv k bolesti v oblasti bedrovej chrbtice a následne sa prejavy presúvajú do dolných končatín. Prejavuje sa bolestivosť v oblasti bedrového kĺbu, stehna, lýtka až chodidla a prstov. Tieto nepríjemné prejavy môžu prerásť až do znecitlivenia dolnej končatiny. Lokalizácia bolesti – tzv. vystreľovania, záleží od toho, ktorá platnička a v akej miere je poškodená.

Základom liečby je aktivácia šikmých brušných svalov a relaxácia chrbta.

Výborná prednáška MUDr. Richarda Smíška

Ako pomohlo cvičenie SM Systém pacientom s herniou disku?

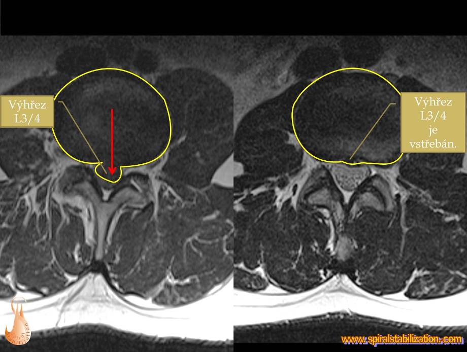
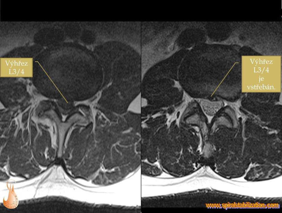
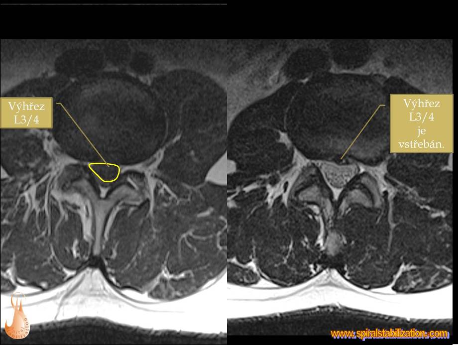
Výsledky hernia L3/L4

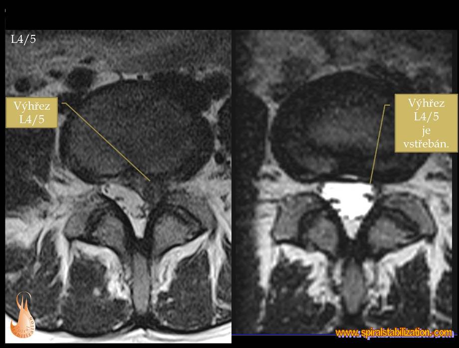
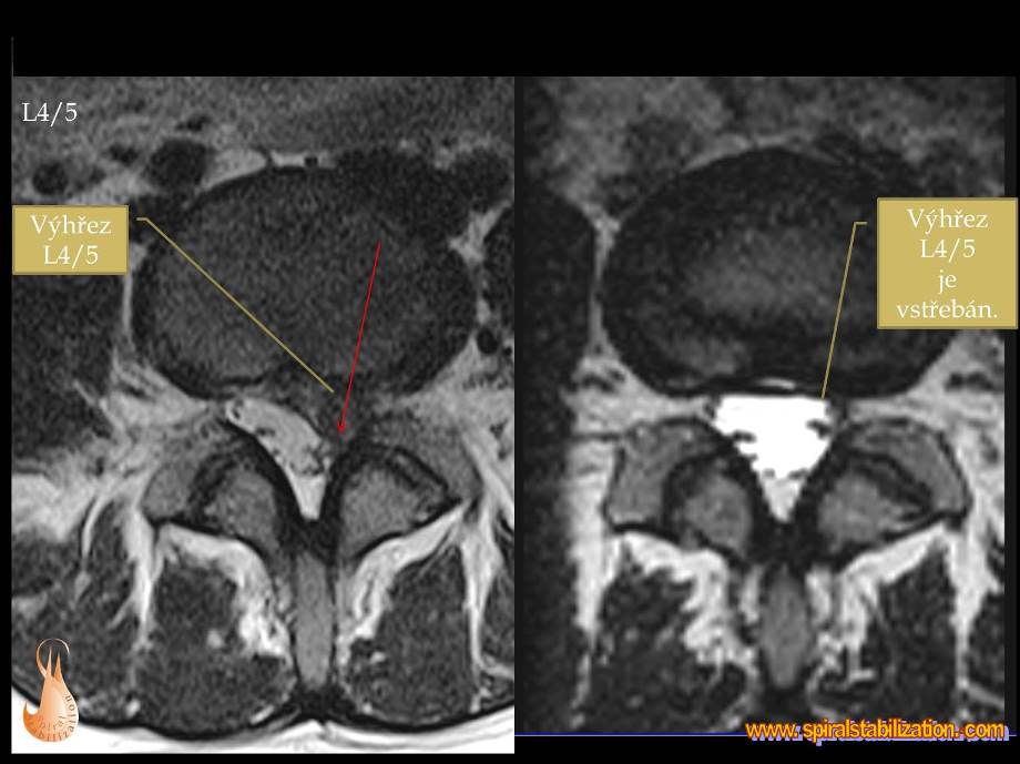
Výsledky hernia L4/L5

Výsledky hernia L5/S1

Chcem sa naučiť SM Systém